万千商家帮你免费找货
0 人在求购买到急需产品
- 详细信息
- 文献和实验
- 技术资料
- 提供商:
江西中洪博元生物技术有限公司
- 服务名称:
动物造模
背景介绍:反流性食管炎(Reflux esophagitis,RE)是由胃、十二指肠内容物反流入食管引起的食管炎症性病变,内镜下表现为食管黏膜的破损,即食管糜烂和(或)食管溃疡。反流性食管炎可发生于任何年龄的人群,成人发病率随年龄增长而升高。西方国家的发病率高,而亚洲地区发病率低。这种地域性差异可能与遗传和环境因素有关。但近二十年全球的发病率都有上升趋势。中老年人、肥胖、吸烟、饮酒及精神压力大是反流性食管炎的高发人群。
应用方向:消化系统相关课题。
关键词:反流性食管炎、RE、Reflux esophagitis
实验动物:大鼠品系:SD、Wistar;周龄:6-8周;雄性。
造模方法:麻醉后进行食管十二指肠端侧吻合术,即开腹后,将胃提出,剪断肝胃韧带、肝脾韧带,分离食管迷走神经和血管,于食管距贲门0.3cm处切断食管,将贲门端缝合,食管下端吻合至距幽门约1cm处的十二指肠上(肠系膜对侧缘),术后用含有青霉素钠的生理盐水反复冲洗腹腔,缝合腹壁;术后密切观察大鼠饮食、活动情况及精神状态。
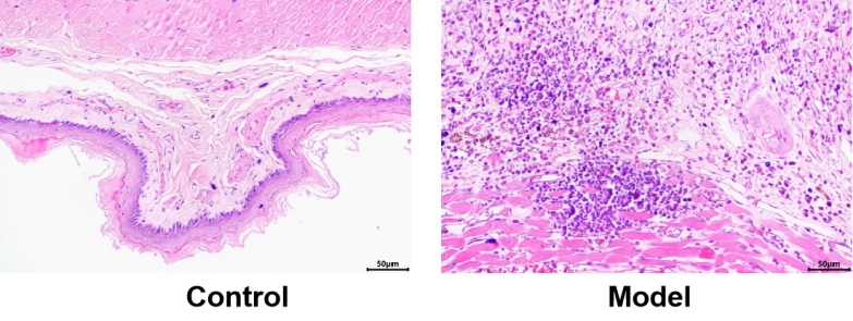
模型验证:与对照组相比,模型组食管粘膜粗糙,细胞炎症浸润情况严重,表明模型成功。
图2 HE模型验证(200X)
风险提示:丁香通仅作为第三方平台,为商家信息发布提供平台空间。用户咨询产品时请注意保护个人信息及财产安全,合理判断,谨慎选购商品,商家和用户对交易行为负责。对于医疗器械类产品,请先查证核实企业经营资质和医疗器械产品注册证情况。
文献和实验Takei Ryohei, et al. Dynamic switch of immunity and antitumor effects of metformin in rat spontaneous esophageal carcinogenesis.[J] .Cancer Immunol Immunother, 2022, 71: 777-789.(IF=5.442)
技术资料暂无技术资料 索取技术资料










