相关产品推荐更多 >
万千商家帮你免费找货
0 人在求购买到急需产品
- 详细信息
- 询价记录
- 技术资料
- 品系:
细胞系
- 细胞类型:
/
- 肿瘤类型:
/
- 供应商:
上海烜雅生物科技有限公司
- 库存:
100
- 英文名:
U14/LUC
- 生长状态:
半贴壁生长
- 年限:
长期
- 运输方式:
常温
- 器官来源:
/
- 是否是肿瘤细胞:
/
- 细胞形态:
/
- 免疫类型:
/
- 物种来源:
/
- 相关疾病:
/
- 组织来源:
小鼠
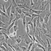
| 产品名称 | 小鼠宫颈癌细胞带荧光素酶;U14/LUC | 产品货号 | XY-0388 |
| 中文名称 | 小鼠宫颈癌细胞带荧光素酶 | 基本形态 | / |
| 培养条件 | DMEM+10%FBS | 生长特性 | 半贴壁生长 |
| 消化时间 | 1-3 分钟 | 培养环境 | 37℃,5%CO2,95%AIR |
观察:
1、收到细胞后,请及时核对培养瓶上标注的细胞名称是否与订购的细胞名称一致以及培养瓶是否有破损或漏液等异常情况。
处理:
1、75%酒精棉球擦拭 T25 细胞培养瓶外部。
2、显微镜观察细胞生长情况,并对细胞进行不同倍数拍照保存(40x,100x,200x 各一张)前三天照片为重要售后依据,不提供照片默认收到状态良好。
3、不要打开培养瓶盖,将细胞放入 37 度培养箱中静置 3-4 小时后再做处理,以稳定细胞状态。
4、收到细胞后,及时查看说明书是贴壁细胞还是悬浮细胞形态,并按常规贴壁或悬浮细胞的传代方法操作。
贴壁:未超过 80%汇合度时,将瓶装的完全培养液收集至离心管中,留 5ml 完全培养基, 放入 37℃、5%CO2 孵箱培养;超过 80%汇合度时,根据情况传代或者冻存,具体操作见细胞培养步骤。首次传代,建议 1:2 传代(传代时建议一瓶用原瓶里面的完全培养基,另外一瓶用自己配的完全培养基,进行对比培养。)
疏松贴壁:个别特殊细胞贴壁不牢,在邮寄过程中发生细胞脱落,请将培养瓶所有培养液收集至离心管,1000rpm 离心 5min,收集上清(后期对比培养使用),沉淀加胰酶 1-2ml, 轻轻吹打,重悬,消化 1-2 分钟后,加 5ml 完全培养基终止反应。再离心,弃上清,加 1-2ml 完全培养基重悬。然后按 1:2 比例进行分瓶传代,补充新的完全培养基至 5-8ml/瓶,最后放入 37℃,5%CO2 细胞培养箱中培养。
(注意:如收到密封培养瓶,处理完后放入培养箱培养要将培养瓶盖子拧松)
冻存细胞到货处理1、收到细胞后,请及时核对培养瓶上标注的细胞名称是否与订购的细胞名称一致以及培养瓶是否有破损或漏液等异常情况。
处理:
1、75%酒精棉球擦拭 T25 细胞培养瓶外部。
2、显微镜观察细胞生长情况,并对细胞进行不同倍数拍照保存(40x,100x,200x 各一张)前三天照片为重要售后依据,不提供照片默认收到状态良好。
3、不要打开培养瓶盖,将细胞放入 37 度培养箱中静置 3-4 小时后再做处理,以稳定细胞状态。
4、收到细胞后,及时查看说明书是贴壁细胞还是悬浮细胞形态,并按常规贴壁或悬浮细胞的传代方法操作。
贴壁:未超过 80%汇合度时,将瓶装的完全培养液收集至离心管中,留 5ml 完全培养基, 放入 37℃、5%CO2 孵箱培养;超过 80%汇合度时,根据情况传代或者冻存,具体操作见细胞培养步骤。首次传代,建议 1:2 传代(传代时建议一瓶用原瓶里面的完全培养基,另外一瓶用自己配的完全培养基,进行对比培养。)
疏松贴壁:个别特殊细胞贴壁不牢,在邮寄过程中发生细胞脱落,请将培养瓶所有培养液收集至离心管,1000rpm 离心 5min,收集上清(后期对比培养使用),沉淀加胰酶 1-2ml, 轻轻吹打,重悬,消化 1-2 分钟后,加 5ml 完全培养基终止反应。再离心,弃上清,加 1-2ml 完全培养基重悬。然后按 1:2 比例进行分瓶传代,补充新的完全培养基至 5-8ml/瓶,最后放入 37℃,5%CO2 细胞培养箱中培养。
(注意:如收到密封培养瓶,处理完后放入培养箱培养要将培养瓶盖子拧松)
1、收到细胞后,检查外包装情况和箱内是否还有干冰。如有外包装破损干冰已完全挥发等问题,请即时联系。
2、正常请进行以下操作:将细胞取出转移至液氮或-80 度冰箱保存,建议尽早复苏。
3、复苏第一管如有活性状态问题及时与我们联系,会有技术人员与您沟通指导后再复苏第二管。特别说明:未与我方联系擅自复苏第二管出现问题不予售后。
细胞复苏
1、 从液氮中取出细胞冻存管(注意:佩戴防爆管面具),快速将其置入 37℃水浴中解冻, 直至冻存管中无结晶,然后用 75%的酒精擦拭冻存管外壁;
2、将冻存管中的细胞移至含 5ml 完全培养基的 15ml 离心管中,1000rpm 离心 5min;
3、弃上清,沉淀用 5ml 完全培养基重悬,接种 T25 培养瓶,于 37℃,5%CO2 细胞培养箱中培养;
4、第二天,换用新鲜完全培养基继续培养。

细胞传代
1、细胞生长至覆盖培养瓶的 80%面积时,弃 T25 培养瓶中的培养液,用 PBS 清洗细胞一次:
2、添加 0.25%胰蛋白酶消化液约 1ml 至培养瓶中,倒置显微镜下观察,待细胞回缩变圆后加入 5ml 完全培养液终止消化,再轻轻吹打细胞使之脱落,然后将悬液转移至 15ml 离心管中,1000rpm 离心 5min;
3、弃上清,沉淀细胞用 1-2ml 完全培养基重悬,然后按 1:2 比例进行分瓶传代,补充新的完全培养基至 5-8ml/瓶,最后放入 37℃,5%CO2 细胞培养箱中培养;
细胞冻存
1、细胞生长至覆盖培养瓶的 80%面积时,弃 T25 培养瓶中的培养液,用 PBS 清洗细胞一次;
2、添加 0.25%胰蛋白酶消化液约 1ml 至培养瓶中,倒置显微镜下观察,待细胞回缩变圆后加入 5ml 完全培养液终止消化,再轻轻吹打细胞使之脱落,然后将悬液转移至 15ml 离心管中,1000rpm 离心 5min;
3、 弃上清,沉淀细胞加入 1ml/支的无血清冻存液,混匀后加入冻存管中。
(如:冻一支,加入 1ml 无血清冻存液)
4、 将冻存细胞直接放入-80℃冰箱即可;如后期要将细胞转入液氮罐中,需在-80℃冰箱存放 24 小时以上。
本库的细胞系(株)仅用于科研工作。

相关产品:
| MB49 | 小鼠膀胱癌细胞 |
| Hs 819.T | 人骨肉瘤细胞 |
| SNU-1040 | 人结肠癌细胞 |
| 293AD | 人胚肾细胞 |
| T241 | 小鼠纤维肉瘤细胞 |
| RGM1 | 大鼠正常胃黏膜上皮细胞 |
| BT | 新生牛鼻甲细胞 |
| USMC | 大鼠血管平滑肌细胞 |
| SBC-5 | 人小细胞肺癌细胞 |
| D407 | 人视网膜色素上皮细胞 |
| ETCC-007 | 人乳腺导管癌细胞 |
| HLF-a | 人肺鳞癌细胞 |
| LK2 | 人肺鳞癌细胞 |
风险提示:丁香通仅作为第三方平台,为商家信息发布提供平台空间。用户咨询产品时请注意保护个人信息及财产安全,合理判断,谨慎选购商品,商家和用户对交易行为负责。对于医疗器械类产品,请先查证核实企业经营资质和医疗器械产品注册证情况。
- 作者
- 内容
- 询问日期
小鼠宫颈癌细胞带荧光素酶;U14/LUC
¥600 - 2000










