万千商家帮你免费找货
0 人在求购买到急需产品
- 详细信息
- 技术资料
- 形态:
液体
- 保存条件:
冷冻(-20℃)避光
- 克隆性:
多克隆
- 保质期:
一年
- 抗原来源:
SLC22A24
- 库存:
200
- 供应商:
上海酶联生物科技有限公司
- 宿主:
Rabbit
- 应用范围:
仅供科研使用
- 抗体英文名:
Anti-SLC22A24rabbitpolyclonalantibody
- 抗体名:
兔抗SLC22A24多克隆抗体
- 规格:
100ul/200ul/25ul
| 规格: | 100ul | 产品价格: | ¥1560.0 |
|---|---|---|---|
| 规格: | 200ul | 产品价格: | ¥2500.0 |
| 规格: | 25ul | 产品价格: | ¥420.0 |
中文名称: 兔抗SLC22A24多克隆抗体
英文名称:Anti-SLC22A24rabbitpolyclonalantibody
别名:NET46
相关类别:一抗
储存:冷冻(-20℃)
宿主:Rabbit
抗原:SLC22A24
反应种属:Human
标记物:Unconjugate
克隆类型:rabbitpolyclonal
技术规格
英文名称:Anti-SLC22A24rabbitpolyclonalantibody
别名:NET46
相关类别:一抗
储存:冷冻(-20℃)
宿主:Rabbit
抗原:SLC22A24
反应种属:Human
标记物:Unconjugate
克隆类型:rabbitpolyclonal
技术规格
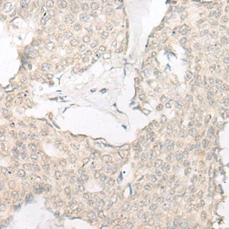
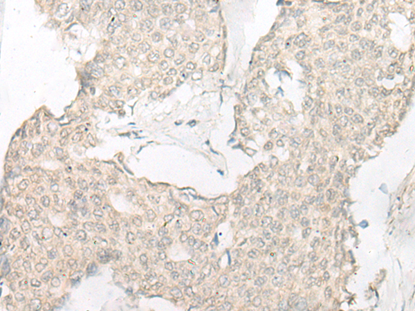
| Background: | SLC22A24belongstoalargefamilyoftransmembraneprote insthatfunctionasuniporters,symporters,andantiporterst otransportorganicionsacrosscellmembranes(Jacobssonetal., 2007[PubMed17714910]). |
|
| Applications: | ELISA,IHC | |
| Nameofantibody: | SLC22A24 | |
| Immunogen: | FusionproteinofhumanSLC22A24 | |
| Fullname: | solutecarrierfamily22member24 | |
| Synonyms: | NET46 | |
| SwissProt: | Q8N4F4 | |
| ELISARecommendeddilution: | 5000-10000 | |
| IHCpositivecontrol: | Humanovariancancer;Humanbreastcancer | |
| IHCRecommenddilution: | 25-100 |
风险提示:丁香通仅作为第三方平台,为商家信息发布提供平台空间。用户咨询产品时请注意保护个人信息及财产安全,合理判断,谨慎选购商品,商家和用户对交易行为负责。对于医疗器械类产品,请先查证核实企业经营资质和医疗器械产品注册证情况。
技术资料兔抗SLC22A24多克隆抗体
¥420 - 2500










