2 年
手机商铺
技术资料/正文
30 人阅读发布时间:2025-07-15 09:24
Vimentin (波形蛋白) 是一种在间充质细胞中广泛表达的 III 型中间丝 (intermediate filament, IF) 蛋白。它在细胞骨架的形成、细胞的形状维持、细胞的迁移、细胞信号传导以及细胞应激反应中发挥着重要作用。它通过侧向或末端方式附着于细胞核、内质网和线粒体,参与调控细胞定向运动、取向排列、细胞片层组织形成,并在细胞迁移前沿维持高尔基体极性。此外,波形蛋白通过细胞接触依赖机制保护SCRIB蛋白免受蛋白酶体降解,并促进其定位于中间丝结构

Vimentin结构. Schematic representation of a vimentin filament from a monomer to its assembly into a mature filament. The vimentin monomer is composed of a central a-helical domain flanked by an unstructured head and tail domain. On the central domain, vimentin possesses a rod II domain with lectin-like properties.
重要发现:Vimentin高表达(VIM+)巨噬细胞通过分泌IL-1β激活Treg细胞的免疫抑制功能
复旦大学的王红阳/陈磊教授团队于2024年9月在Nature Cancer (IF:23.5)上发表了题为“Spatial single-cell protein landscape reveals vimentinhigh macrophages as immune-suppressive in the microenvironment of hepatocellular carcinoma”的研究性文章。该文绘制了HCC单细胞空间蛋白图谱,解析了HCC肿瘤间空间异质性,建立了预后相关的干细胞癌(HCC)空间分型(Spatial Pattern),并整合多组学和体外实验揭示了Vimentin高表达的巨噬细胞与Treg细胞的空间互作促进HCC的疾病进展。
该项研究通过开展了单细胞测序和空间转录组分析,揭示了VIM+巨噬细胞的基因表达特征,发现了VIM+巨噬细胞和Treg之间基因表达的高度关联性,提示了VIM+巨噬细胞可能作用于Treg,从而增强免疫抑制。配受体分析进一步揭示了VIM+巨噬细胞或许通过白介素-1β(IL-1β)和干扰素-γ(IFN-γ)参与对Treg细胞的调控。随后,作者利用流式细胞仪分离了VIM+和VIM低表达的巨噬细胞,并检测了其中IL-1β的表达水平。结果表明,在不同类型的巨噬细胞中,VIM+的巨噬细胞显著高表达IL-1β,细胞共培养实验发现了VIM+巨噬细胞促进Treg分泌IL-10,而加入IL-1β抗体可显著缓解作用效果。
斯达特S-RMab®
Vimentin Recombinant Rabbit mAb (SDT-029-120) (货号:S0B2254)抗体是您Vimentin 研究中的有力帮手。
数据验证:
WB免疫印记

WB result of Vimentin Rabbit mAb
Primary antibody: Vimentin Rabbit mAb at 1/500 dilution
Lane 1: Daudi whole cell lysate 20 µg
Lane 2: HeLa whole cell lysate 20 µg
Lane 3: A549 whole cell lysate 20 µg
Negative control: Daudi whole cell lysate
Secondary antibody: Goat Anti-Rabbit IgG, (H+L), HRP conjugated at 1/10000 dilution
Predicted MW: 54 kDa
Observed MW: 57 kDa
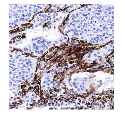
IHC 免疫组化

斯达特S-RMab® 系列抗体赋能生命科学和病理研究
免疫细胞化学

ICC shows positive staining in HeLa cells. Anti-Vimentin antibody was used at 1/250 dilution (Green) and incubated overnight at 4°C. Goat polyclonal Antibody to Rabbit IgG - H&L (Alexa Fluor® 488) was used as secondary antibody at 1/1000 dilution. The cells were fixed with 4% PFA and permeabilized with 0.1% PBS-Triton X-100. Nuclei were counterstained with DAPI (Blue).Counterstain with tubulin (Red).
点击下方的产品货号,直达官网详情页供您了解




杭州斯达特 (www.starter-bio.com)志在为全球生命科学行业提供优质的抗体、蛋白、试剂盒等产品及研发服务。依托多个开发平台:重组兔单抗、重组鼠单抗、快速鼠单抗、重组蛋白开发平台(E.coli,CHO,HEK293,InsectCells),已正式通过欧盟98/79/EC认证、ISO9001认证、ISO13485。
明星指标:高表达vimentin的巨噬细胞在肝细胞癌免疫抑制中的关键作用