2 年
手机商铺
技术资料/正文
111 人阅读发布时间:2025-07-10 09:59
MLH1靶点
简介
MLH1(MutL Homolog 1)蛋白是一种在人类细胞中发现的DNA修复酶,属于MutL蛋白家族。MLH1蛋白在DNA错配修复(Mismatch Repair, MMR)过程中起着关键作用,这一过程可以识别并修复DNA复制过程中产生的错配碱基对。MLH1蛋白的功能对于维持基因组稳定性和防止癌症发生至关重要
结构特点

Three dimensional structures of MLH1
MLH1蛋白属于MutL蛋白家族,具有多个功能结构域。它通常与PMS2蛋白形成异二聚体,这种异二聚体是其发挥DNA错配修复功能的活性形式。其N端含有ATP结合结构域,能够结合并水解ATP,为蛋白的功能活动提供能量;C端则参与与其他错配修复蛋白的相互作用,在错配修复复合物的组装和功能发挥中起重要作用。
主要功能
DNA错配修复:在DNA复制过程中,DNA聚合酶偶尔会引入错误的碱基,形成碱基错配或插入 - 缺失环。MLH1 - PMS2异二聚体能够识别这些错配,并与其他错配修复蛋白(如MSH2 - MSH6复合物)协同作用,对错误的碱基进行切除和修复,从而维持基因组的稳定性和完整性。
参与DNA损伤应答:除了错配修复功能外,MLH1还参与细胞对DNA损伤的应答过程。当DNA受到损伤时,MLH1可以激活细胞周期检查点,使细胞周期停滞,以便有足够的时间进行DNA修复;如果损伤无法修复,MLH1还可以参与启动细胞凋亡程序,清除受损细胞,防止其发生癌变。
癌症诊断中的作用
林奇综合征(Lynch syndrome,LS)是一种常染色体显性遗传病,由错配修复基因(MMR)如MLH1、MSH2、MSH6和PMS2等功能缺陷引起,与遗传性结直肠癌的发生密切相关。MLH1蛋白功能缺失是林奇综合征的重要病因之一。通过免疫组织化学(IHC)检测肿瘤组织中MLH1蛋白的表达情况,如果MLH1蛋白表达缺失,高度提示可能存在林奇综合征。
在散发性结直肠癌中,也有部分患者会出现MLH1蛋白表达异常。检测MLH1蛋白表达有助于区分散发性结直肠癌的不同分子亚型。例如,MLH1基因启动子区高甲基化可导致MLH1蛋白表达沉默,这类患者的肿瘤生物学行为和临床病理特征可能与其他亚型有所不同。MLH1蛋白表达状态与散发性结直肠癌患者的预后相关。一般来说,MLH1蛋白表达缺失的散发性结直肠癌患者可能具有较好的预后,对某些化疗药物的反应也与MLH1蛋白正常表达的患者不同。因此,检测MLH1蛋白表达可以为临床治疗方案的选择和预后判断提供重要依据。
子宫内膜癌也是林奇综合征相关的常见肿瘤之一。约20% - 30%的林奇综合征患者会发生子宫内膜癌。检测子宫内膜癌组织中MLH1蛋白的表达情况,有助于筛查林奇综合征相关的子宫内膜癌。对于MLH1蛋白表达缺失的子宫内膜癌患者,需要进一步评估是否存在林奇综合征,以便对患者及其家族成员进行遗传咨询和肿瘤预防。MLH1蛋白表达检测还可用于子宫内膜癌的鉴别诊断。例如,与散发性子宫内膜癌相比,林奇综合征相关子宫内膜癌通常具有独特的组织学类型和分子特征,MLH1蛋白表达状态的检测有助于区分这两种类型的子宫内膜癌,从而指导治疗和随访。
产品介绍
MLH1 Recombinant Mouse mAb (SDT-R702) 货号: S0B2363

数据展示:
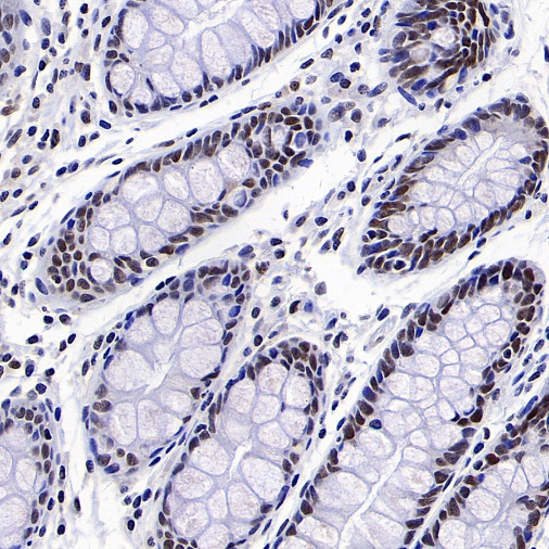
Positive staining

IHC shows positive staining in paraffin-embedded human colon
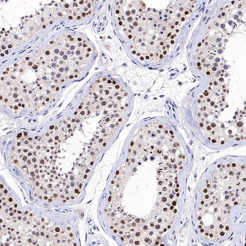
Positive staining

IHC shows positive staining in paraffin-embedded human testis
Negative staining

IHC shows negative staining in paraffin-embedded human colon cancer
Negative staining

IHC shows negative staining in paraffin-embedded human pancreatic cancer
组织表达图谱:

Expression of MLH1 in tumor tissue

Expression of MLH1 in human tissue.
NaPi2b/SLC34A2靶点
简介
NaPi2b,也称为 SLC34A2,是一种钠依赖性磷酸盐转运蛋白。它属于 SLC34 家族,该家族负责跨细胞膜转运磷酸盐
结构特点

Three dimensional structures of NaPi2b
跨膜结构:NaPi2b/SLC34A2是一种糖基化的跨膜蛋白,其结构包含12个跨膜结构域,N端和C端均位于细胞内。这种跨膜结构使得它能够镶嵌在细胞膜中,形成一个通道或载体,介导物质的跨膜运输。
糖基化修饰:糖基化修饰对于NaPi2b/SLC34A2蛋白的稳定性、转运功能以及与其他分子的相互作用具有重要影响。糖基化位点的改变可能会影响蛋白的折叠、定位和活性
主要功能
磷酸盐吸收: NaPi2b 的主要功能是促进细胞对磷酸盐的吸收。磷酸盐是细胞生长、能量代谢和骨骼健康所必需的重要矿物质。
钠依赖性: NaPi2b 的转运活性依赖于钠离子的存在。它利用钠离子的电化学梯度来驱动磷酸盐进入细胞。
组织分布相关功能:该蛋白广泛分布于多种组织和器官中,如肺、小肠、乳腺等。在小肠中,它参与食物中磷酸盐的吸收;在肺组织中,可能与肺泡表面液体中的磷酸盐平衡有关。
癌症诊断中的作用
卵巢癌: NaPi2b 在卵巢癌(尤其是浆液性卵巢癌)中高度表达,并且表达水平与肿瘤分级和预后相关。因此,NaPi2b 可以作为卵巢癌诊断和预后评估的辅助指标。
肺腺癌: 一些研究表明,NaPi2b 在肺腺癌中也存在高表达,可能有助于肺腺癌的诊断和分型。
其他癌症: NaPi2b 在其他一些癌症中也有表达,例如子宫内膜癌、甲状腺癌等,但其诊断价值还需要进一步研究。
产品介绍
NaPi2b/SLC34A2 Recombinant Rabbit mAb (SDT-1771-79) 货号: S0B2364

数据展示:
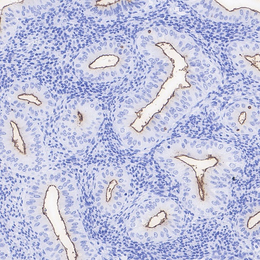
Positive staining

IHC shows positive staining in paraffin-embedded human endometrial cancer
Negative control

IHC shows negative staining in paraffin-embedded human skeletal muscle
组织表达图谱:

Expression of NaPi2b/SLC34A2 in tumor tissue

Expression of NaPi2b/SLC34A2 in human tissue

杭州斯达特 (www.starter-bio.com)志在为全球生命科学行业提供优质的抗体、蛋白、试剂盒等产品及研发服务。依托多个开发平台:重组兔单抗、重组鼠单抗、快速鼠单抗、重组蛋白开发平台(E.coli,CHO,HEK293,InsectCells),已正式通过欧盟98/79/EC认证、ISO9001认证、ISO13485。