2 年
手机商铺
技术资料/正文
117 人阅读发布时间:2025-06-19 09:27
TDP-43是一种由414个氨基酸组成的蛋白质,属于hnRNP(异质核糖核蛋白)家族成员。它包含两个RNA识别基序(RRMs),这些基序通过两个60个残基长度的氨基酸折叠形成保守的三维结构,能够与RNA进行单链结合和序列特异性结合。TDP-43的这种结合能力使其能够参与细胞内的RNA代谢过程,包括转录、翻译、选择性剪接以及mRNA稳定性调节等。该蛋白由李文渝在2006年首次发现,并揭示了其在神经退行性疾病中的重要作用。
结构与功能
在正常细胞中,TDP-43主要分布于细胞核内,参与基因表达的调控。然而,在细胞应激环境下,TDP-43可穿梭至细胞质中,与其他蛋白相互作用形成应激颗粒(stress granules),以应对细胞环境的变化。这种应激颗粒是通过可逆的液液相分离(liquid-liquid phase separation)聚集成的无膜结构,有助于细胞在应激条件下维持稳态。
在疾病状态下,TDP-43蛋白在胞浆中形成异常蛋白聚集,这是肌萎缩侧索硬化症(ALS、渐冻症)和额颞叶变性运动神经元疾病额颞叶痴呆(FTD)的主要病理标志性蛋白之一。这种异常的蛋白聚集被认为与渐冻症的发生发展密切相关。

图1.TDP-43在轴突积累的机制。
轴突中病理性TDP-43形成和积累的各种可能性的运动单元示意图。A.轴突转运的改变可能导致TDP-43向更多的顺行或更少的逆行转运转变,从而改变其在轴突和突触中的局部浓度。B. TDP-43通过细胞外囊泡扩散。TDP-43从细胞中清除的一种方法是通过细胞外囊泡。这些含有TDP -43的囊泡可以从Schwann细胞或骨骼肌中移除,并被吸收到邻近的轴突中,这些轴突不能承受蛋白质过载,并且缺乏适当的机制来应对蛋白质积累。C .蛋白质平衡的改变是由轴突中不受调节的TDP-43合成驱动的,或者如所示,由于其磷酸化状态导致TDP-43蛋白水解和轴突清除过程中的功能障碍。
TDP-43与渐冻症(ALS)
在ALS和FTD患者的脊髓和大脑受损区域中,可以检测到大量存在的TDP-43蛋白聚集。这些聚集的TDP-43蛋白主要以淀粉样形式存在,与淀粉样蛋白、神经纤维缠结及海马硬化等病理特征密切相关。
研究表明,TDP-43在ALS中的作用尤为关键。在ALS患者中,无论TARDBP基因是否突变,TDP-43蛋白的病理性异常几乎普遍存在。这种异常包括TDP-43从细胞核转移到细胞质,并形成包涵体团块,这些团块会干扰TDP-43的正常功能,产生毒性并阻碍细胞过程,最终导致细胞死亡。

图2.轴突/NMJ中TDP-43的拟病理机制。
关于轴突TDP-43的生物学和病理作用的最新证据表明,TDP-43积聚在运动神经元的远端轴突和突触前隔室中并形成pTDP-43凝聚物。这些结构隔离了对线粒体和核糖体蛋白质的局部合成至关重要的mRNA。这些局部蛋白质合成的中断引发了线粒体功能障碍、活性氧(ROS)产生和局部蛋白质合成进一步受损之间的恶性循环。由于NMJ严格依赖于这些过程,这特别影响了NMJ,从而促进了NMJ和轴突变性。
案例分享
研究者从两名有ALS合并FTD临床病史的患者的额叶和运动皮层中提取了聚集的TDP-43。这两名患者在运动皮层和脊髓中都有聚集的TDP-43的圆形NCIs,以及散发性ALS特征的束状包体12(图3a,扩展数据图3a)。在额叶、颞叶和顶叶皮质的所有皮质层中也观察到NCIs和少突胶质细胞质包体,很少有营养不良的神经突(图3a, b,扩展数据图3b)。这些发现与4期ALS TDP-43病理和b型皮质TDP43病理一致,这两种病理在ALS合并FTLD患者中都很常见。免疫印迹证实,提取的聚集体由全长TDP-43和CTFs组成,并在S409和S410位点磷酸化(pS409/S410)(图3b,扩展数据图3c),与先前在ALS和FTLD12中观察到的结果一致。免疫金阴性染色电镜(immune -EM)显示TDP-43聚集体呈螺旋状投影宽度为10-15 nm的细丝(图3d,扩展数据图3d),类似于从FTLD6患者中提取的聚集TDP-43,以及ALS和FTLD脑组织中原位成像的聚集TDP-43。

图3 | TDP-43 pathology of ALS with FTLD.

拓展数据图3 | TDP-43 pathology of ALS with FTLD continued.
最新的研究还发现,TDP-43的异常表达或突变还会影响星形胶质细胞的功能。星形胶质细胞是中枢神经系统中的重要细胞类型之一,具有维持神经元微环境稳定、参与突触传递和神经保护等多种功能。研究发现,星形胶质细胞中TDP-43的异常表达会促进干扰素诱导的趋化因子基因表达,产生过量的趋化因子,进而激活神经元中的趋化因子受体,改变突触前功能并使神经元过度兴奋,最终导致认知障碍的发生。
TDP-43作为一种多功能的核酸结合蛋白,在神经退行性疾病中发挥着重要的作用。其异常表达或突变会导致多种神经退行性疾病的发生发展。未来的研究需要进一步揭示TDP-43异常导致神经退行性疾病的具体机制,并开发针对TDP-43异常的有效治疗药物。同时,我们也需要加强对神经退行性疾病的早期筛查和诊断工作,以便及时发现并治疗这些疾病。
TDP-43 Recombinant Rabbit mAb
货号:S0B0731数据分享

ICC shows positive staining in HeLa cells. Anti-TDP-43 antibody was used at 1/500 dilution (Green) and incubated overnight at 4°C. Goat polyclonal Antibody to Rabbit IgG - H&L (Alexa Fluor® 488) was used as secondary antibody at 1/1000 dilution. The cells were fixed with 4% PFA and permeabilized with 0.1% PBS-Triton X-100. Nuclei were counterstained with DAPI (Blue). Counterstain with tubulin (Red).

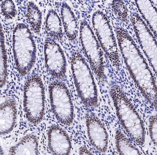
IHC shows positive staining in paraffin-embedded human colon. Anti- TDP-43 antibody was used at 1/1000 dilution, followed by a HRP Polymer for Mouse & Rabbit IgG (ready to use). Counterstained with hematoxylin. Heat mediated antigen retrieval with Tris/EDTA buffer pH9.0 was performed before commencing with IHC staining protocol.

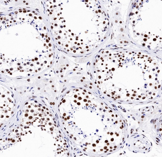
IHC shows positive staining in paraffin-embedded human testis. Anti- TDP-43 antibody was used at 1/1000 dilution, followed by a HRP Polymer for Mouse & Rabbit IgG (ready to use). Counterstained with hematoxylin. Heat mediated antigen retrieval with Tris/EDTA buffer pH9.0 was performed before commencing with IHC staining protocol.

WB result of TDP-43 Recombinant Rabbit mAb
Primary antibody: TDP-43 Recombinant Rabbit mAb at 1/1000 dilution
Lane 1: HeLa whole cell lysate 20 µg
Lane 2: SH-SY5Y whole cell lysate 20 µg
Secondary antibody: Goat Anti-Rabbit IgG, (H+L), HRP conjugated at 1/10000 dilution
Predicted MW: 45 kDa
Observed MW: 40 kDa

Flow cytometric analysis of 4% PFA fixed 90% methanol permeabilized HeLa (Human cervix adenocarcinoma epithelial cell) labelling TDP-43 antibody at 1/500 dilution (0.1 μg) / (Red) compared with a Rabbit monoclonal IgG (Black) isotype control and an unlabelled control (cells without incubation with primary antibody and secondary antibody) (Blue). Goat Anti - Rabbit IgG Alexa Fluor® 488 was used as the secondary antibody.

[1]. Diana Arseni, et al. TDP-43 forms amyloid filaments with a distinct fold in type A FTLD-TDP. Article. 2023.
[2]. Diana Arseni, et al.Structure of pathological TDP-43 filaments from ALS with FTLD. Article. 2021.
[3]. Ariel Ionescu1, Topaz Altman1 and Eran Perlson. Looking for answers far away from the soma—the (un)known axonal functions of TDP-43, and their contribution to early NMJ disruption in ALS. Molecular Neurodegeneration (2023) 18:35.
[4]. Katherine E. Irwin,et al. A fluid biomarker reveals loss of TDP-43 splicing repression in presymptomatic ALS–FTD. Nature medicine. 2024.
杭州斯达特 (www.starter-bio.com)志在为全球生命科学行业提供优质的抗体、蛋白、试剂盒等产品及研发服务。依托多个开发平台:重组兔单抗、重组鼠单抗、快速鼠单抗、重组蛋白开发平台(E.coli,CHO,HEK293,InsectCells),已正式通过欧盟98/79/EC认证、ISO9001认证、ISO13485。