2 年
手机商铺
技术资料/正文
264 人阅读发布时间:2025-06-12 10:26
P16是一种抑癌基因,与细胞周期调控相关,通过抑制CDK4和CDK6的活性来阻止细胞进入S期,在调节细胞分裂G1-S期过程中起关键作用。
在宫颈上皮内瘤变(CIN)病变时,P16表达水平异常升高,表现为P16蛋白的异常核及胞浆阳性。可用于宫颈癌高级别鳞状上皮病变与化生、萎缩等的鉴别。
Ki-67是一种细胞增殖标志物,Ki-67在细胞周期的G1、S、G2和M期均有表达,但在细胞处于静止期(G0期)或凋亡时不表达。
Ki-67的检测在乳腺癌、肺癌、结肠癌等癌症中的诊断和分级中都有应用。Ki-67值的高低直接反映了肿瘤细胞增殖的活跃程度,也是判断肿瘤恶性程度和预后一个重要的标志物。
子宫颈癌
子宫颈癌是常见的妇科恶性肿瘤之一, 发病率在我国女性恶性肿瘤中位居第二。
高危型人乳头瘤病毒(HPV)持续感染是引起子宫颈癌和子宫颈上皮内病变的主要病因,尤其是HPV的某些高危型别,如HPV 16和HPV 18。子宫颈高级别上皮内病变包括高级别鳞状上皮内病变(HSIL)及原位腺癌(AIS)。HSIL包括子宫颈鳞状上皮内瘤变(CIN)2 级和3级,主要由HPV感染后引起,细胞有明显的异型性,核分裂象增多。
宫颈癌发展缓慢,能需要数年时间才能从前期病变发展为侵袭性癌症。宫颈癌前病变和宫颈癌早期可能没有任何症状,且子宫颈癌治疗效果和预后欠佳,因此定期进行宫颈癌筛查对早期发现和治疗宫颈癌至关重要。
目前传统的子宫颈癌筛查多是使用细胞学/HPV初筛,但其特异性和灵敏度都不高。2023年,《老年女性子宫颈病变筛查及异常管理中国专家共识》将p16/Ki-67细胞学双染纳入筛查方案。
p16/Ki-67双染
p16/Ki-67双染检测是一种用于宫颈癌前病变诊断的免疫细胞化学检测方法,样本类型为宫颈脱落细胞。检测原理是正常细胞不会同时出现p16和Ki-67过度表达,双染阳性则提示提示高危型HPV持续性感染,与高级别鳞状上皮内病变(HSIL)相关。

图1 老年女性以HR-HPV为基础的子宫颈病变查及异常管理流程。HR-HPV:高危型人乳头瘤病;TCT:薄层液基细胞学检查;ASC-US:不典型鳞状上皮细胞。
已有大量研究使用临床样本进行筛查方法比较:
Mariam El-Zein研究收集492个宫颈样本进行双染检测,结果发现:①双染细胞学检测的阳性率随着组织学严重程度的增加而增加,从正常组织的30.6%到癌症组织的87.5%。②双染细胞学单独使用时,对于CIN2+和CIN3+的敏感性低于HPV检测,但在CIN2+和CIN3+的特异性上分别提高了7.9%和9.6%。
在中国也有相关临床样本研究:选取537名年龄在20至79岁之间的女性的宫颈脱落细胞,p16/Ki-67的特异性在检测CIN2+和CIN3+中都高于HR-HPV检测(CIN2+为85.96%对比67.54%,CIN3+为79.84%对比62.90%),双染可作为管理ASC-US女性的有效分流方法。
p16/Ki-67双染诊断优势
在临床上,p16/Ki-67双染检测在宫颈癌筛查中具有极高灵敏度,其特异性和灵敏性都优于HPV检测和细胞学检测。有助于提高宫颈癌前病变的检出率,也减少阴道镜的过度干预。
p16/Ki-67双染检测不受HPV不同亚型的影响,可独立评价病变严重程度,p16/Ki-67双染的阳性率,随着宫颈病变的严重程度升高而升高,可减少延误诊断。
p16/Ki-67双染可以避免单染带来的定位差异,通过阳性细胞在鳞状上皮的定位,结合TCT与HPV检测可用于监测HSIL(CINII/II)的复发,可对宫颈CIN的病理诊断、分级和分层管理。
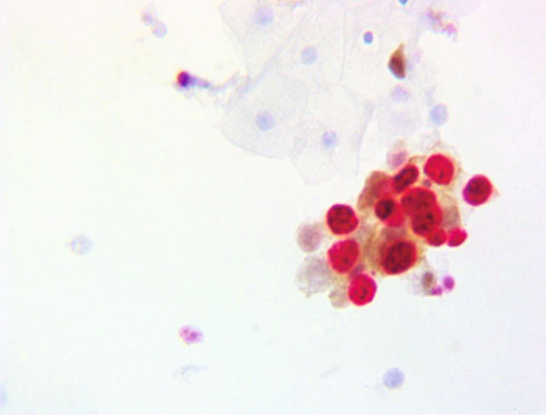
双染检测不受细胞形态学影响,细胞质染色为特异性棕色(p16)、细胞核染色为特异性红色(Ki-67),仅通过颜色变化即可进行判别,用于辅助诊断宫颈癌前病变。通过更客观简便的判读方式,而非通过形态学,操作简便性和准确性都大幅度提升。

图2 子宫颈上皮细胞p16/Ki-67双染阳性
随着中国人口老龄化和经济社会发展欠均衡,部分地区的子宫颈病变筛查率低,我们子宫颈癌患者发病人数也逐渐升高,提高筛查人数和优化筛查方式刻不容缓。p16/Ki-67双染检测技术为宫颈癌的早期诊断提供了一种更为简便、安全且高效的筛查方法,为宫颈癌的早期发现和治疗提供了强有力的支持。
S-RMab®单克隆抗体
斯达特p16&Ki-67单克隆抗体,重组兔单抗,具有更高的特异性、灵敏度、稳定性,细胞定位准确,为临床提供更准确的诊断结果。

[1] Shao-Kai,Zhang,Man-Man,et al.Evaluation of p16/Ki-67 dual staining in the detection of cervical precancer and cancer in China.[J].Cancer Epidemiology, 2019.DOI:10.1016/j.canep.2018.12.013.
[2] Kakaliashvili-Dzagnidze, Sopio, Omar Khardzeishvili, and Sergo Tabagari. "Diagnostic Accuracy of p16 INK4a/Ki-67 Dual Immunostaining for Detection of High-Grade Cervical Intraepithelial Neoplasia in Women Involved in Cervical Cancer Screening in Georgia." Analytical Cellular Pathology 2023 (2023).
[3] Mariam El‐Zein, Gotlieb W , Gilbert L ,et al.Dual staining for p16/Ki‐67 to detect high‐grade cervical lesions: Results from the Screening Triage Ascertaining Intraepithelial Neoplasia by Immunostain Testing study[J].International Journal of Cancer, 2021, 148(2):492-501.DOI:10.1002/ijc.33250.
杭州斯达特 (www.starter-bio.com)志在为全球生命科学行业提供优质的抗体、蛋白、试剂盒等产品及研发服务。依托多个开发平台:重组兔单抗、重组鼠单抗、快速鼠单抗、重组蛋白开发平台(E.coli,CHO,HEK293,InsectCells),已正式通过欧盟98/79/EC认证、ISO9001认证、ISO13485。