上海申知心生物科技有限公司

2

手机商铺

qrcode
商家活跃:
产品热度:
  • NaN
  • 0.5
  • 0.5
  • 2.5
  • 2.5

上海申知心生物科技有限公司

入驻年限:2

  • 联系人:

    张经理

  • 所在地区:

    上海 浦东新区

  • 业务范围:

    技术服务

  • 经营模式:

    科研机构

在线沟通

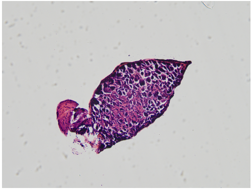
技术资料/正文

C57小鼠L4-6背根神经节取材

40 人阅读发布时间:2026-03-27 08:37

具体流程如下:

1. 小鼠断颈;

2. 俯卧位,去掉背部皮肤;

3. 以股骨为骨性标志,切开皮肤,分离筋膜,暴露坐骨神经;

4. 沿坐骨神经干向头侧逆行追踪,寻找椎间孔;

5. 暴露L4-6背根神经节;

6. 坐骨神经和L4-6背根神经节;

7. 背根神经节HE染色。

技术资料图片1

资料格式:

0327.png

查看详细文档

上一篇

逆转免疫抑制并提升 CAR-NK 细胞在胶质母细胞瘤中的浸润能力

下一篇

大鼠心梗模型构建技术

我的询价