3 年
手机商铺
技术资料/正文
58 人阅读发布时间:2026-01-06 12:40
由密歇根州立大学Aitor Aguirre团队主导构建了一个人类心脏-巨噬细胞组合体(hHMA)模型,首次在体外重现了胚胎期心脏驻留巨噬细胞(TRMPs)的发育整合、功能调控及其在炎症驱动的心律失常(如房颤)中的作用。
一、研究背景:为什么做?

二、技术路线:怎么做?
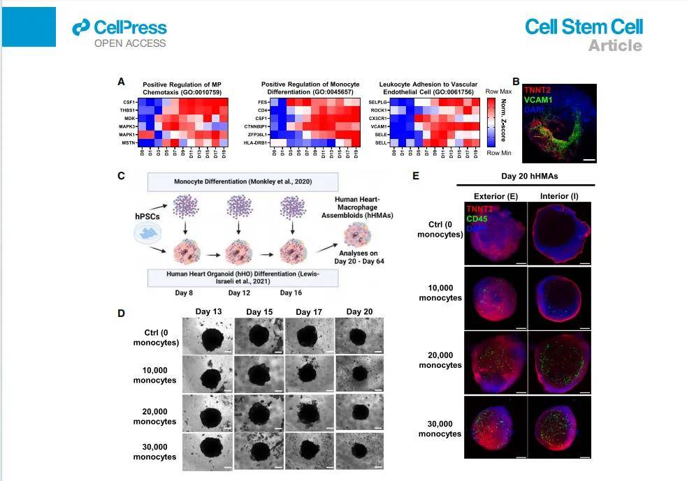
1. 构建hHMA:心脏类器官+巨噬细胞:“先让心脏类器官(hHO)长到容易‘接待’巨噬细胞的时间窗,再把 hPSC 来源的卵黄囊样单核细胞按胚胎定植节奏分三批‘投递’进去,让它们在类器官内自然分化成组织驻留巨噬细胞(TRMPs)。”
心脏类器官(hHO):由hPSC通过自组装分化形成,包含心室/心房肌细胞(VCM/ACM)、成纤维细胞(CF)、内皮细胞(ENC)、瓣膜细胞(VC)等。
巨噬细胞来源:hPSC分化为卵黄囊样原始单核细胞(CD14+),在hHO发育第8、12、16天分批次整合,模拟胚胎期TRMPs定植。
整合效率:20,000–30,000单核细胞/次,最终TRMPs占比1–3%,与胚胎心脏一致。

巨噬细胞来源与预培养
心脏类器官准备(hHO)

2. 模型成熟与疾病诱导
成熟期:第20–30天使用增强成熟培养基(EMM2/1),含脂肪酸、甲状腺激素、IGF-1等。
炎症刺激:第30–64天加入LPS+IL-1β+IFN-γ(低/中/高剂量),模拟慢性炎症状态。
药物干预:使用NLRP3抑制剂MCC950验证机制。

三、主要发现:得到了什么?
1. TRMPs成功整合并长期存活
形态:TRMPs均匀分布于心脏类器官内部,形成CX43间隙连接与心肌细胞电耦合。
转录组:表达TRMP标志物(CD14、CD68、CD163、CSF1R、MRC1),不表达CCR2(符合胚胎TRMP特征)。
功能:
2. TRMPs重塑心脏细胞组成
scRNA-seq显示:TRMPs促进心室肌细胞(VCM)、成纤维细胞(CF)、瓣膜细胞(VC)增殖,减少传导细胞(CC)、内皮细胞(ENC)等。
配体-受体分析:TRMPs通过SPP1-整合素轴与所有心脏细胞类型通讯,分泌SPP1+胞外囊泡(EVs),富含炎症、迁移、代谢相关蛋白。

四、机制解析:TRMPs如何参与心律失常?
1. 炎症激活TRMPs
NLRP3炎症小体激活:中高剂量炎症刺激下,TRMPs表达NLRP3、CASP1、IL-1β、IL-6、TNF-α,分泌促炎因子,形成ASC specks。
表型转化:从稳态(M0)向M1型极化,同时尝试通过IL-10进行负调控。
2. 心房肌细胞(ACM)电生理异常
心律失常表型:
机制:
药物验证:MCC950抑制NLRP3,显著减少EADs和ASC specks,部分恢复电生理稳定性。
五、疾病模型:房颤(AF)的体外重现

六、创新点

Kirkstall Quasi Vivo®类器官串联芯片动态互作培养系统