3 年
手机商铺
技术资料/正文
132 人阅读发布时间:2025-11-03 15:25
北京基尔比生物研制生产——3D细胞类器官孔板培养重力摇床
中国医学科学院药物研究所-北京基尔比生物Kilby Bio 3D细胞类器官摆动式精密灌注仪(重力摇床)安装现场
北京基尔比生物研发的Kilby STPI型摆动式灌注仪(重力摇床),是一款专为 3D 细胞培养及类器官高通量生物科研实验设计的精密设备。其核心优势在于通过实现持续灌流和低剪切力的可控流体环境,解决传统培养中营养交换不均、类器官核心坏死等关键痛点,完美适配在分子医学研究、精准医疗转化及高通量筛选中的核心需求,为生物样本功能研究、药物靶点验证等场景提供稳定可靠的培养条件支撑。
关键技术参数:
可支持堆叠两层不少于4块96孔板同时灌注培养,也可定制适配器官芯片等
兼容实验室二氧化碳培养箱内长期(连续)使用
北 京 基 尔 比 生物科技公司主营产品:
Kilby Gravity 微超重力三维细胞培养系统,
动植物/微生物等地面重力环境模拟装置【可以定制】,
Kilby Bio 3D细胞类器官摆动式精密灌注仪(重力摇床),
Kirkstall Quasi Vivo 类器官3D串联芯片灌注培养系统
LIS1无脑畸形:一种神经发育障碍,特征为大脑皮层折叠减少和严重的神经功能障碍。所有病例都由LIS1基因的杂合突变引起,但患者的症状严重程度存在广泛差异。
LIS1基因:编码一种同源二聚体蛋白,是dynein-dynactin复合体组装和微管马达功能的关键调节因子。LIS1通过增强dynein马达的进程性,支持对多种神经发育过程至关重要的逆向运输,包括神经元迁移、轴突生长等

Nature Communications | (2025) 16:9091核心内容是关于LIS1基因突变导致的无脑畸形(Lissencephaly)的研究,特别是探讨了不同严重程度的LIS1无脑畸形在患者来源的前脑类器官中蛋白质稳态失调的机制。研究通过整合形态学、转录组学和蛋白质组学分析,揭示了LIS1无脑畸形的疾病严重程度与神经祖细胞稳态和神经发生的渐进性变化相关,并提出了可能的治疗靶点。
(一)从期刊编辑和审稿人的角度来看,这篇论文被录用的原因主要集中在以下几个方面:
1. 研究的创新性和科学价值
2. 研究方法的严谨性

3. 研究结果的影响力
4. 论文的呈现质量
5. 研究的伦理和合规性
6. 研究的潜在应用前景

结论
综合来看,这篇论文因其创新性、科学价值、严谨的研究方法、重要的临床相关性、高质量的呈现以及潜在的应用前景,被期刊编辑和审稿人认为是值得发表的。这些因素共同确保了论文能够为学术界和临床实践做出重要贡献。
(二)原文中患者来源的前脑类器官研究过程的详细描述
1. 患者样本选择与细胞重编程
样本来源:研究者从63例LIS1无脑畸形患者中筛选出7例,涵盖从轻度(Dobyns分级5)到重度(Dobyns分级1)的全部皮质发育异常范围。每例患者均携带经分子鉴定的LIS1致病变异。
细胞重编程:将患者来源的体细胞(如皮肤成纤维细胞或淋巴细胞)通过非整合型方法重编程为诱导多能干细胞(iPSC)。具体使用CTSTM CytoTuneTM-iPS 2.1 Sendai重编程试剂盒,严格遵循制造商的说明进行操作,将OCT4、SOX2、KLF4和c-MYC这4个转录因子导入体细胞,使其重编程为iPSC。
2. 前脑类器官的生成
iPSC的准备与培养:将重编程后的iPSC在Geltrex包被的细胞培养板上,使用Pluripromedium(PP)或Essential 8(E8)培养基进行培养,每天更换培养基。传代时,使用TrypLE Express或EDTA处理细胞,并在传代后的培养基中补充5μM Y-27632以促进细胞存活。
类器官诱导与培养:将iPSC细胞团聚后,置于含有特定诱导因子的培养基中,诱导其向神经外胚层分化,进而形成前脑类器官。在诱导过程中,培养基会根据不同的发育阶段进行调整,以模拟人类胚胎大脑发育的环境。
质量控制:在培养过程中,定期对类器官进行形态学观察和免疫组化分析,以确保其正常发育并表现出预期的神经外胚层特征。例如,通过检测神经外胚层标志物(如SOX2)的表达来评估类器官的分化程度。
3. 类器官的形态学分析
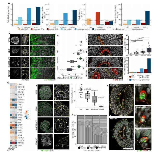
早期形态学观察:在培养的第20天左右,对类器官进行亮场显微镜观察,记录其整体形态特征。轻度LIS1患者来源的类器官形成规则的神经上皮环状结构,中度类器官通常较小,重度类器官则表现出不规则边缘,有细胞向嵌入基质中突出。
免疫组化染色:对类器官进行免疫组化染色,使用特异性抗体标记不同的细胞类型和结构。例如,使用β-III微管蛋白(TUBB3)抗体标记神经元,通过共聚焦显微镜观察神经元的分布和组织情况。结果显示,重度类器官中存在明显的神经元带,而轻度和中度类器官中该带不明显,对照组中几乎不存在。
结构分析与量化:对类器官的脑室带(VZ)结构进行苏木精-伊红(HE)染色,并使用图像分析软件对VZ的大小、组织结构等进行量化分析。测量的参数包括顶膜和基底膜的长度、VZ的直径和大小、总环面积和大小等。结果表明,随着疾病严重程度的增加,VZ结构的大小和组织有序性逐渐下降,重度类器官与对照组在所有六个参数上均存在显著差异,中度类器官在四个参数上存在差异,轻度类器官在两个参数上存在差异。

4. 单细胞RNA测序(scRNA-seq)
样本收集与处理:在培养的第23天左右,收集对照组和不同严重程度的LIS1患者来源的类器官,进行单细胞RNA测序。将类器官切片后,使用已发表的单细胞制备协议进行细胞分离,或使用10x Genomics Chromium核分离试剂盒进行核分离。
文库制备与测序:使用10x Genomics Chromium平台进行单细胞或核文库制备,按照10x Genomics Chromium Single Cell 3' Library & Gel Bead Kit v3.1化学试剂盒的用户指南进行操作。制备好的cDNA文库由德国癌症研究中心(DKFZ)的高通量测序单位进行处理,并在Illumina NovaSeq 6k平台上进行测序。
数据分析:使用Cell Ranger软件从FASTQ文件生成单核RNA-seq数据集的计数矩阵,并使用Seurat v4.0.5进行数据分析。首先对特征进行过滤,去除在任何细胞中均未表达的特征,并根据检测到的特征数量、总UMI计数和线粒体基因比例(<10%)对细胞进行单独过滤。然后使用SCTransform进行归一化,并使用DoubletFinder v2.0.3排除细胞多重性。通过主成分分析(PCA)进行降维,并基于前50个主成分构建邻域图,使用Leiden算法进行聚类,最终得到10个细胞簇。通过已知标记基因对簇进行注释,并手动将中间祖细胞(IP)簇根据EOMES表达(>0.25)进一步细分为两个亚簇。
5. 蛋白质组学分析
样本收集与蛋白提取:从对照组、轻度、中度和重度LIS1患者来源的iPSC中生成均质化的皮质祖细胞培养物,使用TriFast试剂盒按照制造商的协议进行蛋白提取。将干燥的、快速冷冻的蛋白沉淀物溶解在含有50 mM Tris-HCl缓冲液(pH 7.8)、5% SDS和cOmplete ULTRA蛋白酶抑制剂(Roche)的溶液中,然后使用Bioruptor®进行处理,以确保蛋白充分溶解。
蛋白消化与标记:使用S-trap协议对蛋白进行消化,将蛋白与胰蛋白酶的比例保持在20:1,并在45°C下消化2小时。通过添加甲酸使消化液酸化,以终止消化过程。然后使用PepSwift单体柱在Ultimate 3000 HPLC上进行脱盐处理,并通过直接注射1μg样品进行HPLC分离,以确保蛋白完全消化。
质谱分析:将1μg的肽样品在Ultimate 3000快速分离液相色谱(RSLC)nano系统上进行分离,并与Q Exactive HF Orbitrap质谱仪(Thermo Scientific)联用。使用Acclaim C18 PepMap100捕获柱和反相色谱柱进行分离,并设置相应的梯度洗脱条件。质谱仪在数据依赖采集模式(DDA)下运行,进行全MS扫描和离子选择碎裂,以获取肽段的质谱图。
数据分析:使用Proteome Discoverer软件对质谱原始数据进行处理,并在人类Uniprot数据库中进行目标/诱饵模式搜索。设置相应的搜索参数,包括酶、修饰、离子容忍度等。使用Percolator进行假发现率(FDR)控制,并对蛋白进行定量分析。通过Wilcoxon秩和检验比较样本间的蛋白表达差异,并使用加权相关网络分析(WGCNA)构建蛋白共调控网络,以识别与疾病严重程度相关的蛋白模块。

6. 药物干预实验
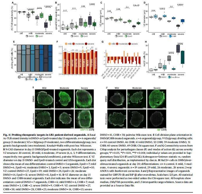
药物处理:在类器官培养的第10天至第15天,对类器官进行药物处理。使用1μM的CHIR99021(GSK3β抑制剂,激活WNT信号通路)或1nM的Epothilone D(微管稳定剂)进行处理,并在处理后对类器官进行固定和冰冻切片,以便后续的免疫组化分析。
效果评估:通过免疫组化染色观察药物处理后类器官的形态学变化,如VZ结构的恢复、神经元带的减少等。结果表明,EpoD处理部分恢复了重度类器官中的乙酰化微管蛋白(Ac-TUB)纤维密度、顶膜N-cadherin定位和VZ形态,并减少了神经元带的大小,表明减轻了过早神经发生。CHIR99021处理也改善了VZ结构并减少了神经元带,且在重度类器官中效果最为显著。这些结果进一步支持了LIS1相关缺陷的特异性,并强调了治疗时机和剂量的重要性。
7. 晚期类器官的转录组分析
样本收集与处理:在培养的第60天左右,收集对照组和重度LIS1患者来源的类器官,进行单细胞RNA测序。同样使用10x Genomics Chromium平台进行文库制备和测序。
数据分析:使用Cell Ranger multi软件生成计数矩阵,并使用Seurat v5.0.2进行数据分析。过滤掉检测到基因数量较少或线粒体含量较高的细胞后,应用SCTransform归一化。