4 年
手机商铺
入驻年限:4 年
武经理
北京 海淀区
试剂、抗体、ELISA 试剂盒、细胞库 / 细胞培养、实验室仪器 / 设备、耗材
生产厂商 经销商 代理商
技术资料/正文
19 人阅读发布时间:2025-12-10 16:57
NEB无细胞蛋白表达系统
-NEBExpress、PURExpress体外蛋白合成试剂盒
北京云肽生物科技代理美国进口New England Biolabs(NEB)品牌无细胞蛋白表达系统,包括NEBExpress无细胞E.col蛋白合成系统、PURExpress体外蛋白合成试剂盒,以提供更快速、更简单、更高效的蛋白表达平台选择。

无细胞表达是一种不使用活细胞的蛋白表达方法。在无细胞表达中,使用一种包含指导蛋白合成所需的所有成分的溶液(如核糖体、TRNA、酶、辅因子、氨其酸等),来转录和翻译核酸模板(如质粒DNA、线性DNA、mRNA)。无细胞表达只需一个简单的生化反应,就可以在几小时内生成目的蛋白,而基于细胞的蛋白表达方法则通常需要几天甚至更长时间。
无细胞表达适用于多种应用场景,其速度和便捷性促进了高通量蛋白表达在蛋白质工程、突变研究和酶筛选等领域的应用。此外,无细胞表达也常用来制备用于生物物理和结构功能分析的蛋白。无细胞表达的其它应用包括生产对宿主细胞有毒的蛋白、表达含有修饰或非天然氨基酸的蛋白,以及掺入翻译后修饰。由于其稳健的性能、可放大性和成本效益,无细胞表达系统也被应用于代谢工程和合成生物学。
NEB目前提供两种性能优异的无细胞表达系统,其中基于细胞裂解液的NEBExpress系统表现出高表达水平和高性价比,而PURExpress系统组分明确,高度可控,可满足多种应用场景。
NEB无细胞表达实验流程更简单,更快速

图.传统细胞表达纯化与NEB无细胞表达纯化实验流程比较。
1、基于细胞的实验流程:将重组质粒纯化后转化到合适的宿主菌株中,涂到平板上并过夜培养。第二天挑取菌落并在液体培养基中过夜培养。过夜培养物重新稀释,培养至对数生长中期(0D=0.4~0.8),然后诱导表达。第二天,将培养物离心沉淀、裂解,并通过柱层析进行纯化。
2、NEB无细胞实验流程:将重组质粒纯化,加入到NEBExpress;无细胞E.coli蛋白合成系统混合物中,温育数小时,与NEBExpressNi-NTA磁珠混合,并上样到磁性颗粒处理器进行自动化纯化。
NEB无细胞表达系统优势
l 不依赖于细胞的生长与存活;
l 简单、快速、高性价比;
l 体系可放大;
l 兼容高通量实验流程;
l 开放系统:生产毒性蛋白,掺入非天然氨基酸,加入蛋白折叠辅助因子,模板类型更灵活。
一、NEBExpress无细胞E.coli蛋白合成系统
NEBExpress无细胞E.coli蛋白合成系统将转录和翻译整合为一体,设计用于以DNA或mRNA为模板,在T7 RNA聚合酶启动子的控制下合成蛋白。该系统表达水平高,能够表达高分子量蛋白,可扩大规模,并在高通量表达应用中降本增效。该系统的速度和稳健性可促进蛋白表达,助力蛋白质工程、突变研究和酶筛选等相关应用研究。
NEBExpress无细胞E.coli蛋白合成系统提供模板DNA之外合成蛋白所需的所有成分,只需加入模板DNA即可进行蛋白表达。该系统由基因工程菌株中提取的高活性细胞提取物、反应缓冲液和优化的T7 RNA聚合酶组合而成,可协同完成分子量从17~230kDa不同大小蛋白的高效表达。
NEBExpress无细胞E.COIi蛋白合成系统优势
l 蛋白表达产量高(通常为0.5mg/mL,最高可达3mg/mL);
l 蛋白可在大约2~4h内合成和可视化;
l 包含T7 RNA 聚合酶以及用于目标模板DNA转录/翻译的所有组分;
l 可表达分子量17~230kDa的蛋白;
l 模板可以是质粒DNA、线性DNA或mRNA;
l 试剂盒提供RNase抑制剂,可抑制RNase污染,使RNA更加稳定;
l 灵活的反应条件能使产量更大化,蛋白表达可以在37℃下持续10h或在更低的温度下持续24h。
应用
l 快速合成分析量级蛋白,用于下一步表征分析;
l 高通量筛选和液体处理;
l 表位作图和蛋白质折叠;
l 表达毒性蛋白。

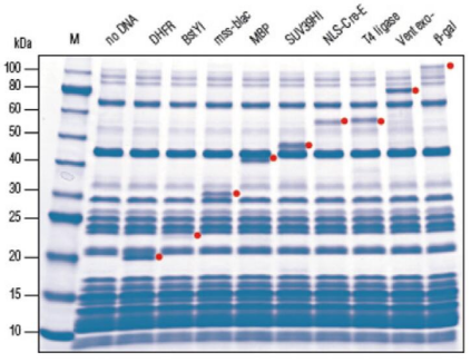
图.NEBExpress无细胞E,coli蛋白合成系统可用干表达多种不同大小(17~230kDa)的蛋白。250ng模板DNA在50μL反应体系中37℃温育3h。红点处指示目的蛋白。M=非预染蛋白Standard,“neg”=阴性对照,无模板DNA。

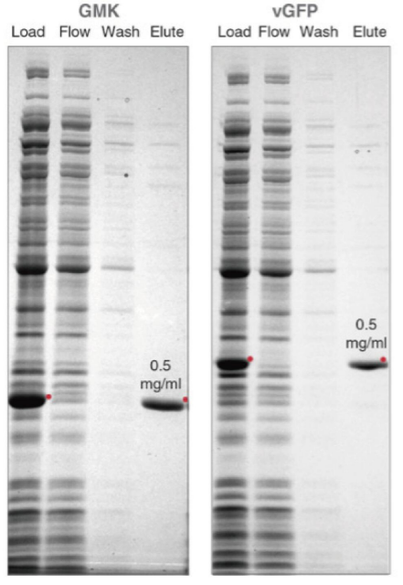
图.NEBExpress无细胞E.coli蛋白合成系统表达的蛋白,经纯化后,可获得足够量的蛋白用于下游分析。两个50μL NEBExpress无细胞表达实验,表达His标签鸟苷酸激酶(GMK)和 His标签绿色荧光蛋白(vGFP),并按照推荐的标准流程使用NEBExpress镍离心柱纯化。各泳道样品情况:纯化前样品(Load)、未结含流出液(Flow)、非特异性结合部分(Wash)、结合并纯化后的样品(Elute)。最终50μL洗脱液的蛋白浓度为0.5mg/ml,证明无细胞蛋白表达可以产生足够量的蛋白用于功能和结构表征。
使用NEBExpress无细胞E.coli蛋白合成系统,大约3h即可检测到目标蛋白的高产量表达。如果有足够的通气和搅拌,反应可以持续10h以上,从而表达超过1mg/ml的蛋白。当在较温和的温度下进行蛋白表达反应时,较长的温育时间有益于产量增加。在25℃下,vGFP的表达可持续超过24h,实现约为3mg/ml的高产量。

图.NEBExpress无细胞E.coli蛋白合成系统,可通过延长温育时间,实现更高的蛋白产量。
A.在25℃、30℃、37℃下对vGFP进行无细胞表达,vGFP荧光强度在25℃,24h后达到最大。
B.终点荧光值表明,与37℃(16h)下的无细胞表达相比,在较低温度下温育更长时间(25℃,24h)可实现明显更高的产量。

图.当以线性DNA为模板时,NEBExpress GamS 核酸酶抑制剂可提高NEBExpress无细胞蛋白表达产量。GamS抑制核酸外切酶V(RecBCD)的活性,并稳定大肠杆菌体外蛋白表达反应中的线性DNA模板。50uL反应体系中包含100ng线性DNA模板、NEBExpress无细胞E.coli蛋白合成系统组分、1.5μg NEBExpressGams 核酸酶抑制剂,37℃温育5h,并通过荧光信号监测活性。
二、PURExpress体外蛋白合成试剂盒
NEB PURExpress 体外蛋白合成试剂盒是新型无细胞转录/翻译系统,用于基因快速表达分析,由纯化后的大肠杆菌翻译所必需的组分构成。仅需将两管试剂混合后加入模板DNA,即可含成一系列无修饰或降解的蛋白。NEB PURExpress系统几个小时就可获得蛋白,大大节省了实验时间,特别适合高通量技术。可根据实验需要选择特定试剂盒型号。
1、PURExpress体外蛋白合成试剂盒是一种综合包含所有组分的试剂盒。
2、PURExpress △ Ribosome 试剂盒支持用户在进行蛋白翻译实验时,添加自己设计的核糖体。
3、PURExpress △ RF123 试剂盒中,三种释放因子单独提供,支持用户在进行蛋白合成反应/核糖体展示实验时,选择是否添加释放因子,或添加另外的释放因子。
4、PURExpress △ (aa,tRNA) 试剂盒可用于添加经过修饰的氨基酸和tRNA混合物来进行蛋白表达反应。
5、PURExpress二硫键增强剂可用于促进目标蛋白正确二硫键的形成。

图.使用PURExpress系统进行蛋白表达和纯化示意图。
NEB PURExpress 体外蛋白合成试剂盒特性
适用于环状或线性DNA模板;
合成的蛋白可直接通过考马斯亮蓝凝胶电泳观察;
约2h即可完成蛋白表达;
模板可以是质粒DNA、线性DNA或mRNA;
转录/翻译的组分可通过亲和层析去除;
包含T7 RNA聚合酶以及用于目标模板DNA转录/翻译的所有组分。
NEB PURExpress 系统包含以下组分
带有His标签的翻译因子(起始因子IF1、F2、IF3;延伸因子EF·TU、EF·Ts、EF·G;释放因子RF1、RF2、RF3;核糖体回收因子;20种氨酰tRNA合成酶;甲硫氨酰tRNA甲酰转移酶);
大肠杆菌核糖体;
大肠杆菌tRNA
能量再生系统;
NTP、氨基酸、盐、缓冲液;
重组T7 RNA 聚合酶。
应用
合成分析量级的蛋白用于进一步表征;
确定开放阅读框;
合成截短蛋白用于活性结构域和功能性残基的鉴定;
在合成的蛋白中掺入修饰的、非天然的或标记的氨基酸;
核糖体结构与功能研究;
释放因子功能研究/核糖体展示;
表位作图。

图.使用NEB PURExpress 体外蛋白合成试剂盒表达蛋白。根据说明书建立反应体系。红点处指示目的蛋白。MarkerM是蛋白分子量标准品。

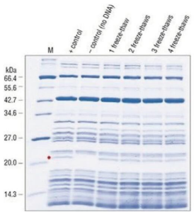
图.高纯度的PUREXpress体外蛋白含成系统能够经受多次冻融循环而保留活性,不降低反应效率。PURExpress系统溶液A和B经过四轮冻融处理后,根据说明书建立标准反应。红点表示目的蛋白。MarkerM是NEB宽范围蛋白Marker。
NEB PURExpress 二硫键增强剂促进蛋白的正确折叠。

图.PURExpress二硫键增强剂(PDBE)促进活性vtPA的正确折叠。以vtPA DNA为模板,按照PURExpress系统说明书建立反应,37℃下温育2小时后,取5μL反应液进行活性检测,在1h内监测发光底物的剪切反应。
PURExpress与NEBExpress无细胞表达系统应用选择

北京云肽生物科技代理的无细胞蛋白表达系统产品