上海晶风生物科技有限公司

6

手机商铺

qrcode
商家活跃:
产品热度:
  • NaN
  • 0
  • 0
  • 2
  • 2

上海晶风生物科技有限公司

入驻年限:6

  • 联系人:

    骆飞

  • 所在地区:

    上海 青浦区

  • 业务范围:

    细胞库 / 细胞培养、试剂、抗体、ELISA 试剂盒、技术服务

  • 经营模式:

    生产厂商 经销商 代理商

在线沟通

技术资料/正文

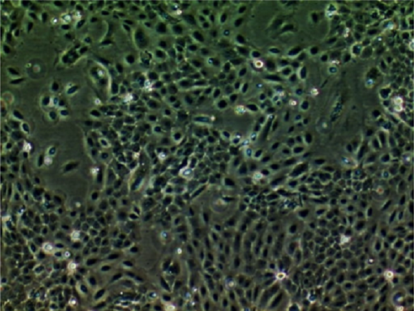
Duckembryo鸭胚成纤维细胞如何培养

79 人阅读发布时间:2025-07-08 10:08

Duckembryo鸭胚成纤维细胞细胞收到后处理

培养至良好状态后灌满完全培养液并封好瓶口是运输细胞的最好办法。收到细胞后先不开瓶盖,请及时核对培养瓶上标注的细胞名称是否与订购的细胞名称一致以及培养瓶是否有破损或漏液等异常情况。若没有发现漏液、污染等异常情况显微镜观察细胞生长情况,并对细胞进行不同倍数拍照保存(最好40x,100x,200x各一张)前三天照片重要售后依据,不提供照片默认收到状态良好。

技术资料图片1

资料格式:

细胞模版.docx

查看详细文档

上一篇

JAWSII小鼠骨髓未成熟树突状细胞如何培养

下一篇

SF763人脑瘤细胞如何培养

我的询价