北京天悦生科技有限公司

7

手机商铺

qrcode
商家活跃:
产品热度:
  • NaN
  • 0
  • 0
  • 0
  • 0

北京天悦生科技有限公司

入驻年限:7

  • 联系人:

    陈女士

  • 所在地区:

    北京 顺义区

  • 业务范围:

    细胞库 / 细胞培养、耗材、试剂

  • 经营模式:

    代理商

在线沟通

技术资料/正文

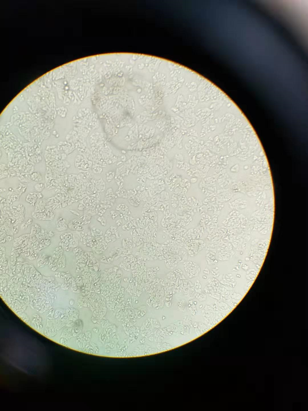
胎牛血清Cellsera试用报告

168 人阅读发布时间:2019-12-11 16:24

研究方向:抗炎免疫

细胞类型:结肠癌细胞

实验结果:应用此血清培养细胞后,细胞生长状态较好

胎牛血清Cellsera试用报告胎牛血清Cellsera试用报告
资料格式:

血清试用报告模板.docx

查看详细文档

上一篇

要开始培养细胞了!我们应该注意哪些事项?

下一篇

精选 | 如何选购正品行货澳洲胎牛血清?

我的询价