3 年
手机商铺
技术资料/正文
204 人阅读发布时间:2024-12-12 09:54
柠檬酸染菌种类分析
柠檬酸发酵常见的污染菌有细菌、酵母、霉菌等,随着发酵液pH的下降,大多数细菌和曲霉菌被抑制或自溶,而耐酸性的酵母和青霉菌等则继续繁殖。
1、细菌
柠檬酸常见的细菌污染主要是杆菌,有产气杆菌、荧光杆菌、枯草芽孢杆菌、耐热芽孢杆菌、巨大芽孢杆菌等。发酵液染杆菌后在显微镜下可以清晰地看到大量杆菌,见下图。尤其是耐热芽孢杆菌危害最大,为了降低高温灭菌对培养基营养的破坏,柠檬酸发酵实消的温度一般控制在80~85℃,保温30 min,这个温度可以有效地杀死细菌、酵母和霉菌的营养体,但是不能杀灭耐热芽孢,一旦培养基中的芽孢过多,发酵前期会大量繁殖。
2、酵母
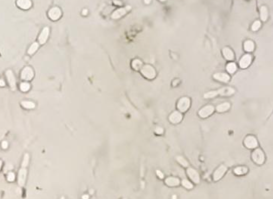
酵母在自然界中广泛存在,有强氧化能力,耐酸力强,在pH=1.8时仍能生长,酵母的生长温度与黑曲霉培养温度接近,酵母在好氧条件下增殖,在厌氧条件下产乙醇。因为柠檬酸为好氧发酵,酵母在柠檬酸发酵培养基中能够快速繁殖,是柠檬酸发酵常见的污染菌,具体有酿酒酵母、清酒酵母、野生酵母等,通过显微镜观察可以看到发酵液中的酵母,见下图。

3、霉菌
柠檬酸发酵本菌黑曲霉为曲霉菌属,若柠檬酸发酵液染杂霉菌,要根据镜检情况识别。正常的黑曲霉在发酵液中,菌丝生长缠绕成球状,杂霉菌在发酵液中的形态各异,有丝状、扫帚状等。柠檬酸感染的霉菌主要有米曲霉、泡盛酒曲霉、皱褐青霉等。通过显微镜可以观察到杂霉菌在发酵液中呈发散的丝状生长,见下图。

尤其是青霉能在高柠檬酸浓度的发酵液中生长,并能使发酵液变黄,抑制黑曲霉生长和产酸,对柠檬酸发酵危害较大。
染菌的影响
1.与柠檬酸黑曲霉竞争营养
柠檬酸发酵的培养温度一般在37±1℃,发酵培养基的初始pH值在4~6之间,培养基的pH值和温度适合杂菌的生长,包括一些杆菌的芽孢在此环境下开始萌发,消耗培养基中的碳源,降低了葡萄糖到柠檬酸的转化率,影响柠檬酸得率。
2.料液黏稠,不利过滤
由于前期黑曲霉没有大量产酸,培养基pH值适合杂菌的生长,同时酵母和杆菌生长繁殖周期短,酵母和杆菌会迅速增加,致使培养基黏度大幅上升,降低培养基中的溶氧,影响黑曲霉生长代谢;同时发酵液黏度增加,造成发酵后工序发酵醪液的过滤处理困难。
3.抑制黑曲霉生长
柠檬酸染菌严重的时候,杂菌快速生长,酵母、杆菌或霉菌都会产生大量的代谢产物。染酵母严重时,大量生成乙醇、乳酸;染杆菌严重时,杆菌产生大量的黏性产物,产生恶臭味。这些代谢产物会抑制黑曲霉的生长,导致黑曲霉停止产酸,柠檬酸发酵被迫终止。