7 年
手机商铺
技术资料/正文
104 人阅读发布时间:2025-05-26 13:29
在细胞研究领域,我们一直在寻找更高效、更精准的培养方法。今天,我们非常荣幸地向大家介绍一款革命性的仪器——CERO 3D细胞培养仪!这是一款由OLS公司支持的创新设备,已经在Sevenich实验室的实验中展现出卓越的性能。
实验背景:小鼠神经干细胞与脑类器官培养
在传统的细胞培养中,我们常常面临诸多挑战,比如细胞生长不均匀、培养规模有限、手动操作繁琐等。而CERO 3D细胞培养仪的出现,彻底改变了这一局面。它首次被用于培养小鼠成年神经干细胞(aNSCs)、脑类器官以及脑癌组装体(assembloids),并取得了令人瞩目的成果。
CERO 3D细胞培养仪的卓越优势
大规模培养能力
CERO 3D细胞培养仪支持高达5000万细胞/管的培养量,相比传统的6孔悬浮板/轨道摇床方法,其培养能力提升了20倍!这意味着我们可以在更小的空间内实现更大规模的细胞培养,大大提高了实验效率。

图 1 使用CERO细胞培养仪培养小鼠成年神经干细胞(aNSCs)
更少的细胞分裂频率
通过持续的运动,CERO 3D细胞培养仪能够延缓早期神经球的形成,从而减少了细胞分裂的频率。实验表明,使用CERO 3D细胞培养仪培养的小鼠aNSCs,其细胞分裂频率降低了2-4倍,减少了频繁传代的需求,同时也减少了手动操作的时间。
降低手动劳动强度
CERO 3D细胞培养仪的自动化设计,使得细胞培养过程更加高效。与传统的6孔悬浮板/轨道摇床相比,CERO 3D细胞培养仪减少了50%的手动劳动时间,包括更少的培养基更换和更少的手动操作时间。这不仅节省了研究人员的时间,还减少了人为操作带来的误差。
长期稳定的类器官培养
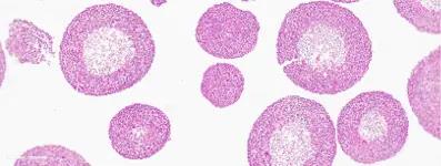
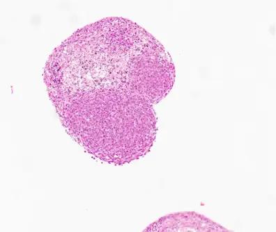
CERO 3D细胞培养仪能够支持脑类器官长达5个月以上的稳定培养,而传统的6孔悬浮板/轨道摇床方法在3个月后,类器官的活性就会显著下降。CERO 3D细胞培养仪培养的类器官具有均匀的大小分布、圆形的形状和增殖的核心,而传统的培养方法则常常导致类器官大小不一、形状不规则,甚至出现凋亡核心。
图 2 使用6孔悬浮板或轨道摇床上培养3个月的小脑类器官

图 3 使用CERO 3D细胞培养仪培养5个月的小脑类器官
革命性的组装体培养
CERO 3D细胞培养仪不仅在单细胞培养和类器官培养中表现出色,还在脑癌组装体(assembloids)的培养中展现了巨大的潜力。组装体是一种3D共培养模型,由脑类器官和癌球融合而成,能够模拟健康和病理组织的相互作用。然而,传统的培养方法中,组装体的相互作用面积有限,通常不到10%的表面相互连接。而CERO 3D细胞培养仪能够将这一比例提高到50%以上,更好地模拟临床场景中的肿瘤-组织相互作用。
图 4 使用6孔悬浮培养板或轨道式摇床培养的GL216胶质瘤和小脑类器官组装体

图 5 使用CERO 3D细胞培养仪培养的GL216胶质瘤和小脑类器官组装体
实验数据对比
培养方法
6孔悬浮板/轨道摇床 VS CERO 3D细胞培养仪
培养能力 每孔约10-30个类器官 每管200+个类器官
细胞分裂频率 频繁 降低2-4倍
手动劳动时间 高 降低50%
长期培养稳定性 3个月后活性下降 5个月以上稳定
组装体相互作用面积 <10% >50%
实验结果展示
脑类器官培养:CERO 3D细胞培养仪培养的脑类器官在3个月后仍保持圆形、大小均匀,核心增殖良好;而传统方法培养的类器官则出现大小不一、形状不规则,甚至凋亡核心。
脑癌组装体培养:CERO 3D细胞培养仪培养的组装体显示出超过50%的表面相互连接,H&E染色显示脑类器官能够围绕超过一半的肿瘤组织生长,Ki-67染色显示肿瘤和类器官组织中均有增殖,而传统方法培养的组装体则表现出较低的增殖率和较高的凋亡率。
总结与展望
CERO 3D细胞培养仪以其卓越的性能,为细胞培养和组织工程领域带来了全新的解决方案。它不仅提高了培养效率,降低了手动劳动强度,还为长期稳定的类器官和组装体培养提供了可能。我们相信,CERO 3D细胞培养仪将在未来的细胞研究中发挥重要作用,为科学家们提供更强大的工具,推动生命科学研究的不断进步。