7 年
手机商铺
技术资料/正文
217 人阅读发布时间:2025-01-02 10:02
把“直接孔板内打印技术”引入DLP生物打印领域
最前沿的BIONOVA X是一款高通量、高速度、高精度的DLP 3D生物打印机,将DLP生物打印技术提升到全新高度。
通过支持多材料打印、
|
10 μm |
6 - 96 |
RT - 60 °C |
|
打印分辨率 |
支持多孔板 |
温度范围 |
多硬度打印以及活细胞打印,用户可以轻松再现体内的生物力学特性。更精确的体外模型生物制造,为全球组织工程领域带来了更卓越的研究成果。
特点
96-Well孔打印
通过自动校准(Autocalibration)技术,可以显著提高在96孔板中打印的通量,同时确保每个孔的打印精度和一致性。这项技术通过自动调整打印系统的设置,确保打印头或打印针在每个孔的中心进行精准定位,避免了手动调整可能带来的误差,提升了效率和可重复性。
连续无层打印
该技术与传统的层层叠加打印方式(如FDM、SLA等)不同,它能在不依赖传统层间切割的情况下,实现材料的连续、均匀沉积。在打印大型结构或微流控芯片时,通过连续无层打印不仅能够精确地控制整个模型的打印过程,还可以通过材料重分配(material redistribution)来优化打印效果,构建具有不同材料的模型。
多材料打印
在一个打印过程中使用不同种类的材料。通过在垂直和水平方向上同时操作多种材料,可以大幅提高打印结构的复杂性,尤其是在数字光处理(DLP)生物打印机上实现这一技术,可以为生物工程和组织工程领域带来显著进展。
UI改进
用户界面改进(User Interface Improvements) 在3D打印技术中起着至关重要的作用,尤其是在高级打印方法的实现过程中。随着打印技术的不断发展,设计一个直观且易于操作的用户界面(UI)已成为提升打印效率和精准度的重要手段。通过优化UI,用户可以更轻松地掌握复杂的打印流程,并能够高效地进行打印设置和监控。
提高实验通量:96孔板打印技术与自动校准功能
在生物打印和实验室自动化领域,提高实验通量是提高生产效率和实验准确性的关键。
1. 96孔板与最大可打印区域
96孔板是实验中常用的微孔板,用于多种细胞培养、化学反应以及药物筛选等实验。每个孔的标准尺寸和布局使其成为高通量实验的理想选择。
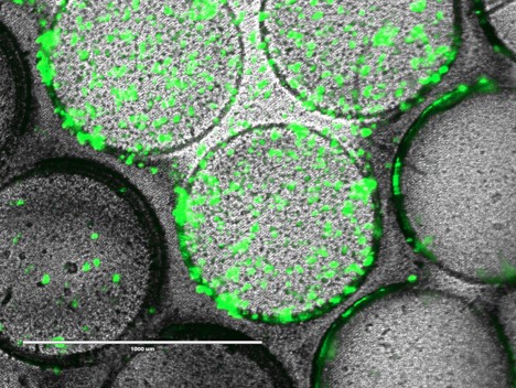
在BIONOVA X打印系统中,每个孔的最大可打印方形区域约为2.1 mm。这意味着,在96孔板上,每个孔的打印区域足够大,能够进行高精度的打印,同时保证打印内容的高质量。这个区域的尺寸适合在孔内进行精细结构的打印,包括细胞图案、微流控通道等复杂图形。
2. 自动校准程序
自动校准(Autocalibration)是BIONOVA X的一项重要功能,它能够在每次打印之前自动校准打印头的位置,确保每次打印都精确地位于96孔板的中心位置。这一功能大大减少了人为干预,提高了打印的效率和准确性。
自动校准能够根据打印机的实时反馈系统自动进行微调,确保打印头在每个孔内的精确定位,避免了因机器误差导致的偏移问题。这项功能尤其适用于高通量实验,需要保证每个孔的打印内容都保持一致。
3. 打印重复性
BIONOVA X系统在打印重复性方面表现出色,能够实现2 微米的重复性精度。这意味着,每次打印在96孔板上相同位置的重复精度非常高,可以有效减少误差,确保实验结果的可靠性。
这种高精度的重复性对于需要精细控制实验条件的高通量实验尤为重要。例如,在药物筛选、细胞培养和基因编辑实验中,确保每个孔内的内容精确相同,可以大大提高实验数据的可靠性。
4. 打印头作为消耗品出售
为了进一步提高打印精度和稳定性,BIONOVA X配备了打印头,该探头将作为消耗品出售。这种设计能够确保打印过程中的每次操作都使用经过精密校准的探头,避免因长期使用导致的精度下降,从而提高打印的一致性和可靠性。
使用可更换的探头作为消耗品,能够有效降低设备维护的成本,同时保持打印质量和设备性能的稳定。
多材料打印

直观的设置
1. 上传多色图像作为模型
功能描述:用户可以上传包含多种颜色的图像作为打印模型。这意味着打印机可以根据图像中的颜色信息,来设定不同的打印材料或打印区域。
应用:该功能使得用户能够快速将现实中的彩色设计转换为3D打印模型,尤其适用于需要多个不同材料或颜色的打印项目,如多层组织工程、复杂的微流控芯片设计,或是具有视觉标识的结构。对于需要不同物理性质的区域(例如强度、透明度、柔韧性等)进行精确打印的应用,这个功能能够极大提高打印的灵活性和效率。
2. 选择打印的颜色
功能描述:用户能够选择打印图像中的具体颜色进行打印。
应用:通过颜色选择,用户可以指定每个区域需要使用的材料类型或属性。例如,在打印组织时,不同的颜色可以代表不同的细胞类型、基质或生物墨水。这种颜色指派使得材料的选择和区域划分变得更加清晰,有助于提高打印精度和效率。
3. 轻松识别材料与对应颜色
功能描述:通过对应的颜色,用户可以轻松地识别打印所用的材料。这对于材料管理和更换至关重要。
应用:这一点非常重要,尤其是在多材料打印过程中,用户可以通过颜色编码来快速辨认哪些区域正在使用哪些材料,避免因误操作而导致的打印错误。这样,操作员无需多次检查和确认材料位置,极大减少了操作的复杂性和错误率。
4. 开始打印(Begin Printing)
功能描述:在用户选择和准备好打印模型之后,打印过程便会自动开始。这一过程通常包括自动化的设置和初始化工作,如对打印头的定位、材料加载和打印环境的确认等。
5. 自动移动到加载位置进行清洗和材料更换
功能描述:在打印完成后,96孔板或打印平台会自动移动到预设的位置,用于清洗和更换材料。这个过程的自动化大大减少了手动操作的需求。
模型设计



使用.jpg/.png画图软件,设计要打印的图案。用不同颜色来设置不同材料。
黑色区域表示无光固化区域。
本模型中共6种打印材料,分别为:红色、蓝色、深绿色、浅绿色、黄色、白色,其中白色为覆盖其他有色材料的其他材料。



本模型使用3种打印材料,分别为:红色、绿色、蓝色。用绿色区域将不同区域分隔开来。
垂直(Z)多材料打印


垂直(Z)多材料打印 指的是在打印过程中,材料不仅在XY平面(水平)上进行切换和堆叠,还能够在Z轴(垂直)方向上实现多材料的交替使用。这一技术突破了传统多材料打印的限制,带来了以下显著优势:
复杂结构的实现:通过在Z方向上使用不同材料,可以打印出具有复杂内部结构和功能层的模型,如嵌入式电子元件、功能梯度材料等。
材料性能的优化:在不同高度层次使用不同材料,可以根据功能需求优化各层的性能。例如,外层使用高强度材料,内层使用轻质材料,实现结构强度与重量的平衡。
功能集成:垂直多材料打印使得在一个打印过程中集成多个功能,例如在同一模型中集成导电材料和绝缘材料,适用于电子和智能设备的制造。